インプラントは本当に痛い?実際の患者データから見えた“本当のところ”
2026年4月8日
インプラント治療と聞くと、
・手術が怖い
・すごく痛そう
・腫れるのではないか
といった不安を感じる方は少なくありません。
実際、初診相談でも「どのくらい痛いですか?」というご質問はとても多くいただきます。
■ 当院では術後の痛み・腫れをすべて記録しています
当院では、インプラント治療をより安心してお受けいただくために、術後の経過を詳細に数値化し、術後管理の改善に役立てています。
今回は、2025年の1年間に行ったインプラント治療を対象に術後の痛み・腫れについてのアンケートの集計データがまとまりましたので、その結果を公開いたします。
アンケートは、VASスケール(0〜10)で評価する方法で実施いたしました。
▼実際に使用しているアンケートシート

※すべて実際に治療を受けた患者様にご記入いただいたものを集計しています
■ まずは「1本埋入」のデータ
比較的シンプルなケースである**1本のインプラント(120名)**の結果です。
- 痛み:1.75 / 10
- 腫れ:1.64 / 10

■ 次に「全体の平均データ」
複数本埋入やGBR、サイナスリフトなど難症例を含めた全体の結果です。
- 痛み:2.41 / 10
- 腫れ:2.52 / 10

■ この数値はどのくらい?
一般的にVASスケールでは、
👉 「2前後」は比較的軽い痛みとして捉えられることが多い数値です。
つまり、
- 1本のインプラント
→ かなり軽いレベル
- 難症例を含めても
→ それでも軽度
という結果になります。
■ なぜ「思ったより楽」と感じるのか?
インプラントは外科処置ですが、
・麻酔がしっかり効いている
・1本であれば処置時間が短い(10分程度のケースも)
・必要以上に侵襲を抑えた治療設計
により、
👉 「想像していた手術と違った」とおっしゃる方が多いのが実際です。
■ 鎮静について悩んでいる方へ
「怖いから鎮静をした方がいいのでは」とご相談いただくこともありますが、
実際には
👉 処置自体は短時間で終わるケースも多く
👉 鎮静の方がハードルに感じる場合もあります
もちろんご希望に応じて対応可能ですが、まずは実際の負担感を知っていただくことが大切です。
■ まとめ
インプラント治療は、
👉 「怖い・痛い」というイメージが先行しがちですが
実際の患者データを見ると、
👉 多くの方が“軽度の痛み”の範囲で治療を終えています
■ ご相談について
不安なまま治療を進める必要はありません。
・自分のケースではどのくらいの負担か
・治療方法の選択肢
についても丁寧にご説明いたします。
まずはお気軽にご相談ください。
👉 LINEでのご相談にも対応しておりますので、
ちょっとしたご質問でもお気軽にご利用いただけます。
https://lin.ee/nFrrKRC
👉 すぐにご予約をご希望の方は、
WEBからのご予約も承っております。
https://ginza-dental.or.jp/contact/#link01
インプラントで一番満足度が低いのはどんなケース?実は“失敗ではないのに不満が残る理由”
2026年3月24日
インプラント治療と聞くと、「しっかり噛めるようになる」「見た目もきれいになる」そんなイメージを持たれる方が多いのではないでしょうか。
しかし実際には、“治療としては成功しているのに、満足できない”というケースも少なくありません。
では、どのようなインプラント治療が満足度の低下につながってしまうのでしょうか?
Q. インプラントで一番満足度が低くなりやすいのはどんなケースですか?
⬇︎
A.「しっかり噛めるようになったものの、違和感が強く残るケース」です。
インプラント治療は、歯を補い「噛めるようにする」という点では非常に優れた治療です。
しかし実際には、「食事はできるけれど、なんとなく違和感がある」「自分の歯とは感覚が違ってしっくりこない」といったお声をいただくこともあります。
このようなケースでは、機能的には問題がなくても、“快適に使えているかどうか”という点で満足度が下がってしまいます。
◾️データに基づく傾向
実際に当院では、金山院長が約10年にわたり、治療後の患者様を対象に**満足度調査(VASスケール)**を行ってきました。
その結果、**「下顎6番の1本欠損に対するインプラント治療」**において、他の部位と比較して満足度が低くなる傾向が確認されています。
では、なぜ特にこのようなケースで違和感が出やすくなるのでしょうか。
◾️なぜ下顎6番で違和感が出やすいのか
① もともと困っていないケースが多い
下顎6番が1本欠損している場合、両隣の歯が残っている「1歯中間欠損」の状態であることが多く、患者様ご自身が**「そこまで強い不自由を感じていない」**ケースも少なくありません。
そのため、インプラント治療によって機能は回復していても、“治療前との違い”が違和感として認識されやすい傾向があります。
② 天然歯との構造の違いによる影響
本来、下顎の6番(第一大臼歯)は複数の根を持つ構造(多根歯)をしています。
一方でインプラントは、基本的に1本の人工歯根で支える構造となるため、天然歯と比較すると歯と歯の間の形態や隙間のバランスが変わりやすく、食べ物が詰まりやすく感じることがあります。
このような日常的な違和感が、満足度に影響している可能性があります。
「違和感の少ないインプラント治療について詳しく知りたい方へ」
当院では、治療後の“使い心地”まで考えたインプラント治療を行っています。
・自分に合う治療か知りたい
・違和感が出ないか不安
・他院との違いを知りたい
このような方は、まずはお気軽にご相談ください。
👉 【WEB予約はこちら】https://ginza-dental.or.jp/contact/#link01
👉 【LINEで相談する】https://lin.ee/nFrrKRC
◾️ただし、入れない方がいいわけではありません
一方で、この部位にインプラントを入れることには明確なメリットもあります。
◾️インプラントを入れるメリット
・ 噛み合う歯(対合歯)の挺出を防ぐ
・ 隣の歯が傾いてくるのを防ぐ
・ 噛み合わせ全体のバランスを維持できる
◾️放置するとどうなるのか
歯を失った状態をそのままにしておくと、時間の経過とともに口腔内は少しずつ変化していきます。
・ 噛み合う歯が伸びてくる(挺出)
・ 隣の歯が倒れてくる(傾斜)
・ 噛み合わせ全体が崩れていく
このような変化はゆっくり進行するため、気づいたときには治療の難易度が大きく上がっているケースも少なくありません。

下顎の奥歯を1本失うと、時間の経過とともに噛み合う歯が伸び(挺出)、隣の歯が傾き、最終的には噛み合わせ全体が崩れていく可能性があります。
◾️違和感を減らすための当院の取り組み
こうした課題に対して当院では、違和感をできるだけ抑えるための治療プロセスを確立してきました。

治療前・手術時・仮歯の段階で複数回スキャンを行い、それぞれのデータを統合することで、最終的な被せ物の精度と噛み合わせを高める治療プロセスです。
従来のインプラント治療では、最終的な被せ物(上部構造)はある程度の調整を前提に装着されることが一般的でした。
しかし当院では、
👉治療前の噛み合わせデータ(フルアーチスキャン)
👉手術時の位置情報(術中スキャン)
👉仮歯の状態での形態・噛み合わせ検証
これらを複数回にわたってデジタルで統合し、最終的な被せ物の完成度を事前に高めるプロセスを採用しています。
その結果、最終的な被せ物の装着時には大きな調整を必要とせず、「違和感の少ない状態」で治療を終えることが可能になります。
このような治療プロセスは、先ほどの満足度データをもとに改良を重ねて確立されたものであり、その内容は国際的な歯科専門誌にも報告されています。
👉実際の論文掲載についてはこちらで詳しく解説しています
JPD(Journal of Prosthetic Dentistry)に論文がアクセプトされました
◾️まとめ
インプラント治療は、「入れること」がゴールではありません。
“違和感なく、長く使い続けられること”それが本来のゴールです。
違和感は“仕方ないもの”ではなく、設計と精度によって大きく変わるものです。
◾️ご相談について
インプラント治療をご検討中の方や、過去に治療を受けたものの違和感が気になる方も、一度、現在の状態を正確に把握することが大切です。
当院では、治療前の設計から治療後の快適性までを重視したインプラント治療のご相談を承っております。
まずはお気軽にご相談ください。
👉 【WEB予約はこちら】
https://ginza-dental.or.jp/contact/#link01
👉 【LINEで相談する】
https://lin.ee/nFrrKRC
矯正治療とインプラント治療はどちらを先に行うべきですか?
2026年3月9日
矯正治療をご検討されている患者様から、 次のようなご質問をいただくことがあります。
「矯正とインプラントはどちらを先に行うべきですか?」
この質問に対する答えは、実はシンプルではありません。 結論から言うと、治療の順序は症例によって異なります。
インプラントは基本的に動かすことができません
インプラントは顎の骨に固定される人工歯根のため、 一度埋入すると基本的に位置を動かすことができません。

そのため
・歯並び
・咬み合わせ
・インプラントを埋入するスペース
を考慮し、理想的な位置を設計してから埋入することが重要になります。
このような場合には、矯正治療を先に行い、歯の位置を整えてからインプラント治療を行うことが多くなります。

インプラントを矯正治療のアンカーとして利用することもあります
一方で、インプラントは骨に固定されて動かないという特性を活かして、矯正治療のアンカー(固定源)として利用することもあります。
例えば
・歯を大きく移動させる必要がある場合
・従来の矯正装置だけでは固定が難しい場合
などでは、先にインプラントを埋入し、それを固定源として矯正治療を行うことが有効なケースもあります。

大切なのは「治療の順序」ではなく「治療設計」
このように、矯正治療とインプラント治療はどちらを先に行うかが決まっているわけではありません。
重要なのは
・歯並び
・噛み合わせ
・欠損部位
・歯周組織
などを総合的に評価し、口腔全体のバランスを考えた治療設計を行うことです。
当院では、矯正治療とインプラント治療を個別の治療としてではなく、口腔全体を一つの設計として考える包括的な診断を大切にしています。
もし、
・矯正治療を検討している
・インプラントも必要と言われた
・どちらから始めるべきか分からない
といった場合は、まずは口腔全体を診査したうえで、最適な治療計画をご提案いたします。
お気軽にご相談ください。
お問い合わせ
院長・金山が中心となって行っている勉強会について
2026年1月30日
東京銀座デンタルクリニック 院長・金山を中心に、全国で診療にあたる歯科医師とともに、オンラインでの勉強会を月に1回開催しています。
この勉強会に参加しているのは、日常臨床に加えて、各種セミナーでの講演や、ディレクター、アドバイザーとしての活動を行っている歯科医師を中心としたメンバーです。
単に知識や技術を共有するだけでなく、「どのように考え、どのように伝えるか」といった教育や発信の視点も含めて、意見交換を行っています。
・

院長・金山を中心に、全国の歯科医師とオンラインで開催している勉強会の様子。
今回の勉強会について
今回の勉強会では、北海道・北見市でご開業されている 髙橋正太郎先生に発表していただきました。
各地で診療に向き合いながら、セミナー講演などを通じて教育にも携わっている歯科医師同士で、長期的な視点での治療の考え方について、実践的な議論を行いました。
このような学びの場で得た知見は、日々の診療にも反映させながら、患者さんにとってより安心できる医療の提供につなげていきたいと考えています。
東京銀座デンタルクリニックでは、日々の診療の裏側で、治療の考え方や説明の在り方を見直すための取り組みも行っています。
・

勉強会では、修復物の長期予後に関する研究データをもとに治療設計について議論しました。
・
・
▶︎ 髙橋正太郎先生の医院はこちら
https://kitamishotarodentalclinic.com/
講演・セミナー日程のお知らせ
2026年1月8日

全国規模の学術大会および専門医向けセミナーにおいて講師を努めております。
・
金山院長の2026年のセミナー及び講演スケジュールに関するお知らせです。
本年も多数の講演依頼を承り、以下の日程にて金山院長は出張のため不在となります。
この間、患者様にはご不便をおかけすることとなりますが、ご理解とご協力をお願い申し上げます。
また、金山院長のセミナー・講演に参加を希望される歯科医師、歯科衛生士、歯科技工士の方々は、ぜひご連絡ください。
【スケジュール】
1月17日(土)〜18日(日) インプラント外科セミナー(広島)
2月14日(土)〜15日(日) インプラント外科セミナー(広島)
3月7日(土)〜8日(日) インプラント外科セミナー(広島)
3月22日(日) インプラントベーシックセミナー(長野)
3月27日(金)〜29日(日) OSSTEM World Meeting(バンコク)
4月16日(木) インプラント講演(鶴見大学)
4月18日(土)〜19日(日) インプラント外科セミナー(北海道・帯広)
4月28日(火) インプラント講演(長崎大学)
5月15日(金) 1Dオンラインセミナー収録
5月29日(土)〜30日(日)Magic 4セミナー(韓国)
6月13日(土) 顎咬合学会シンポジウム・講演(東京)
6月27日(土)〜28日(日) インプラント外科セミナー(岡山)
7月25日(土)〜26日(日) インプラント外科セミナー(岡山)
8月2日(日) インプラント衛生士セミナー(東京)
8月22日(土)〜23日(日) インプラント外科セミナー(岡山)
9月5日(土)〜6日(日) 北海道口腔医療研究会講演(北海道・札幌)
9月26日(土)〜27日(日) インプラントベーシックセミナー(東京)
10月4日(日) インプラント講演(長野)
10月24日(土)〜25日(日) インプラントベーシックセミナー(東京)
11月1日(日) インプラントベーシックセミナー(金沢)
11月27日(金) 長崎大学講義(長崎)
11月28日(土)〜29日(日) インプラントベーシックセミナー(東京)
12月5日(土)〜6日(日) インプラント補綴セミナー(仙台)
12月19日(土)〜20日(日) インプラント外科セミナー(東京)
【お知らせ】オステム補綴セミナーにてランチョンセミナーを行いました
2025年12月16日

・
先日開催された金山先生主催のオステム補綴セミナーにおいて、当院歯科衛生士がランチョンセミナーに登壇いたしました。
本ランチョンセミナーでは、**「インプラントの長期安定のためのDH(歯科衛生士)の役割」**をテーマに、インプラントメンテナンスを中心とした日常臨床での考え方や、衛生士が担うべきポイントについてお話しさせていただきました。
・

・
インプラント治療においては、術後のメンテナンスや継続的な管理が長期的な予後を大きく左右します。
今回のセミナーでは、実際の臨床現場での経験を踏まえながら、歯科衛生士が主体的に関わることの重要性について共有いたしました。
多くの先生方にご清聴いただき、誠にありがとうございました。
・

・
なお、今回の内容をさらに深掘りした
**「衛生士のためのインプラントセミナー」**を
**2025年8月2日(日)**に開催予定です。
詳細につきましては、改めて当院ホームページにてご案内いたします。
【院長・金山 健夫が1Dセミナー ランキング1位を獲得しました】
2025年12月2日

当院の院長・金山 健夫が、歯科医師向け教育プラットフォーム「1D」にて
WEBセミナー『安全&高速インプラントオペ』に登壇し、現在セミナーランキング1位を獲得しております。
本セミナーでは、
・切開・剥離・ドリリングなどの基本手技
・術者のポジショニング
・効率的なアシストワーク
など、安全性と精度を高めるためのポイントについて解説しています。

金山院長はインプラント治療における技術・知識の研鑽を継続しており、
今回の登壇および評価は、日々の臨床と学術活動の成果としていただいたものです。
当院では今後も、患者様に安心して治療を受けていただけるよう、
最新の知見を積極的に取り入れながら質の高い医療提供に努めてまいります。
金山健夫院長の論文が “JPD(Journal of Prosthetic Dentistry)” にアクセプトされました!
2025年11月18日
このたび、金山院長の研究論文が国際的な歯科専門誌 Journal of Prosthetic Dentistry(JPD)に正式アクセプトされました。
今回のアクセプトは、金山院長が臨床で積み重ねてきた知見が“国際基準の科学的根拠”として評価されたことを意味します。

JPDとは?
・1951年創刊、補綴学(Prosthodontics)分野で 世界最古かつ最も権威ある 専門誌
・投稿論文の多くは 世界の大学附属病院や研究機関 からのもので、
採択率は約15〜20%程度 と非常に厳しい審査を通過する必要があります
・JPDに掲載されるということは、
「学術的にも臨床的にも世界レベルで価値がある」と認められた証明
今回の論文は JPD の中でも “Dental Technique” セクション に採択されました。
これは「新しい価値のある技術」「臨床的に有用性が高い」と判断された論文のみが掲載される特別枠です。
今回の論文テーマについて
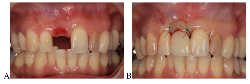
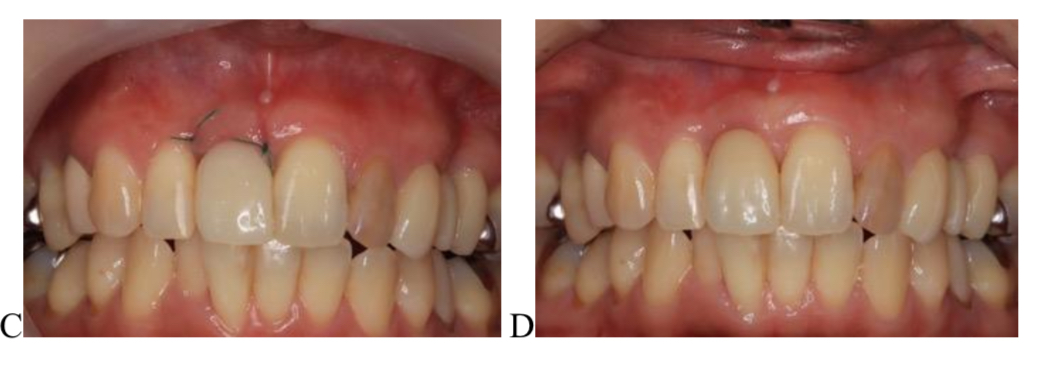
テーマは、「インプラント二次手術当日に、精密な仮歯を即時装着するためのデジタルワークフロー」に関するものです。
今回の方法では、
・術前・術後のスキャンデータを高精度で重ね合わせ
・仮歯を事前にデザインしておき
・二次手術当日に“正確な位置で”装着できる
といった新しいプロトコルを提示しています。
患者様にとっては、
・仮歯を早く装着できる
・歯ぐきの形が自然に整いやすい
・最終補綴の精度が高くなる
というメリットがあります。

この研究が持つ臨床的価値
前歯部など審美性が求められるケースでは、仮歯の精度が最終結果に大きく影響します。
本研究はそれをデジタルで効率よく、安定的に行うための実践的な方法を示したものです。


金山院長より
デジタルを活用することで、より正確で安全なインプラント治療が可能になります。
今後も臨床と研究の両面から、質の高い治療を追求してまいります。
今回のアクセプトは、当院が掲げる「臨床・教育・研究」の三本柱のひとつ、研究分野での大きな成果です。
今後も最新の知見を治療に還元し、患者様により良い医療を提供してまいります。
金山健夫院長が「Osstem Japan Meeting 2025 Osaka」に登壇しました!
2025年11月18日
先日、国内最大級のインプラント学術大会の一つである
「Osstem Japan Meeting 2025 Osaka」 にて、当院の金山健夫院長が登壇いたしました。

会場には全国から多数の歯科医師・歯科技工士が集まり、最新のインプラント技術・補綴技術について活発な議論が行われました。
その中で金山院長は、「デジタル技術で進化するインプラント補綴戦略」 をテーマに講演を行いました。
■ 登壇テーマ
「デジタル技術で進化するインプラント補綴戦略」
近年、インプラント治療はデジタル化の進展によって大きく進化しています。
金山院長のセッションでは、以下のポイントを中心にお話ししました。
・プロビジョナル(仮歯)の重要性と、歯肉形成・審美性への影響
・デジタルワークフローを用いた、正確で再現性の高い補綴設計
・最新のType2埋入プロトコルと臨床的メリット
・3Dデータを用いたプロファイル形成の最適化
特に今回は、**「デジタル補綴の精度がインプラント治療の成功を大きく左右する」**という点を、実際の症例スライドを交えながら詳しく紹介しました。

■ 大会では授賞式にも参加
会の終盤では、登壇講師による授賞式が行われ、金山院長も表彰されました。
インプラント技術や補綴設計における長年の臨床経験と研究実績が高く評価された結果となりました。

■ 当院が大切にしていること
東京銀座デンタルクリニックでは、
「インプラント治療は“埋める治療”ではなく、咬合を回復し長期的な健康を守る治療である」
という考え方にもとづいて診療を行っています。
今回の講演でも紹介されたように、金山院長を中心とした当院の治療は、
・明確な診断
・精密なデジタル補綴設計
・長期的な安定を見据えた咬合管理
・審美性を考慮したプロビジョナルの活用
など、細部まで科学的根拠に基づいたプロトコルを採用しています。
■ 学術活動を通じて、治療の質をさらに高めていきます
当院では、臨床に加えて研究・教育活動にも積極的に取り組んでいます。
今回の登壇も、
「常に最新技術を吸収し、より良い治療を患者様へ届ける」
という姿勢を示す大切な機会となりました。
今後も学術活動を継続しながら、みなさまに質の高いインプラント治療をご提供できるよう努めてまいります。